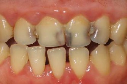
Diş çürükleri gerek dünyada gerekse ülkemizde en sık rastlanan kronik hastalıklar arasında yer alırken, Dünya Sağlık Örgütü (WHO) verilerine göre, ağız ve diş bakımında dünya genelinde diş çürüklerine rastlanma oranının okul çağındaki çocuklarda yüzde 90'ları erişkinlerde ise yüzde 100'ü bulduğu belirlendi.
Diş sağlığının bozulması vücuttaki diğer organları da etkilediği için kalp, böbrek, eklem gibi yapılarda önemli sağlık sorunlarına yol açarken, Ülkemizde nüfusumuzun yüzde 86’sının dişlerini düzenli fırçalamadığı tespit edildi.
Yapılan araştırmalara göre; Avrupa’da bir kişinin yılda 5 kez diş hekimine gittiği belirlenirken, Türkiye’de ise diş hekimine gitme sıklığının 0.7 olduğu tespit edildi. Buna göre yılda bir kez bile diş hekimine gitmediğimiz ortaya çıktı.
Medya Takip Ajansı Interpress’in “Diş Hekimleri Günü ile Ağız ve Diş Sağlığı Haftası” nedeniyle üç bine yakın ulusal, bölgesel ve yerel gazete ile dergiyi kapsayan incelemesine göre, ağız ve diş sağlığı ile ilgili yazılı basında yılbaşından bu yana 23 bin 780 haber çıkarken, diş hekimleri hakkında ise 15 bin 416 haber yayınlandığı tespit edildi.MTM
Diş sağlığının bozulması vücuttaki diğer organları da etkilediği için kalp, böbrek, eklem gibi yapılarda önemli sağlık sorunlarına yol açarken, Ülkemizde nüfusumuzun yüzde 86’sının dişlerini düzenli fırçalamadığı tespit edildi.
Yapılan araştırmalara göre; Avrupa’da bir kişinin yılda 5 kez diş hekimine gittiği belirlenirken, Türkiye’de ise diş hekimine gitme sıklığının 0.7 olduğu tespit edildi. Buna göre yılda bir kez bile diş hekimine gitmediğimiz ortaya çıktı.
Medya Takip Ajansı Interpress’in “Diş Hekimleri Günü ile Ağız ve Diş Sağlığı Haftası” nedeniyle üç bine yakın ulusal, bölgesel ve yerel gazete ile dergiyi kapsayan incelemesine göre, ağız ve diş sağlığı ile ilgili yazılı basında yılbaşından bu yana 23 bin 780 haber çıkarken, diş hekimleri hakkında ise 15 bin 416 haber yayınlandığı tespit edildi.MTM